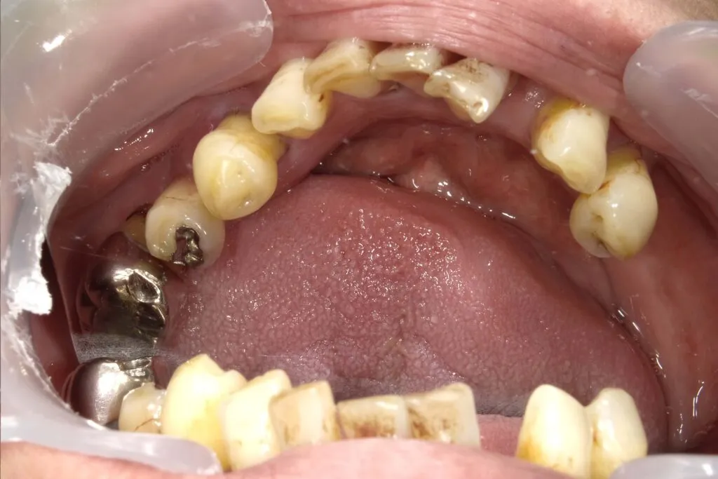
症例

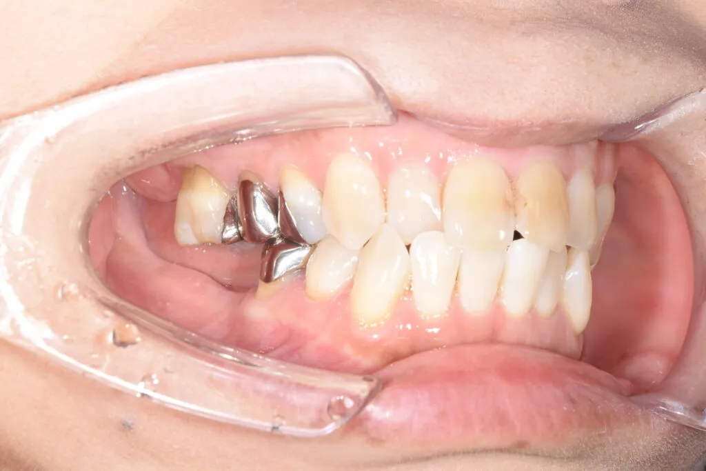
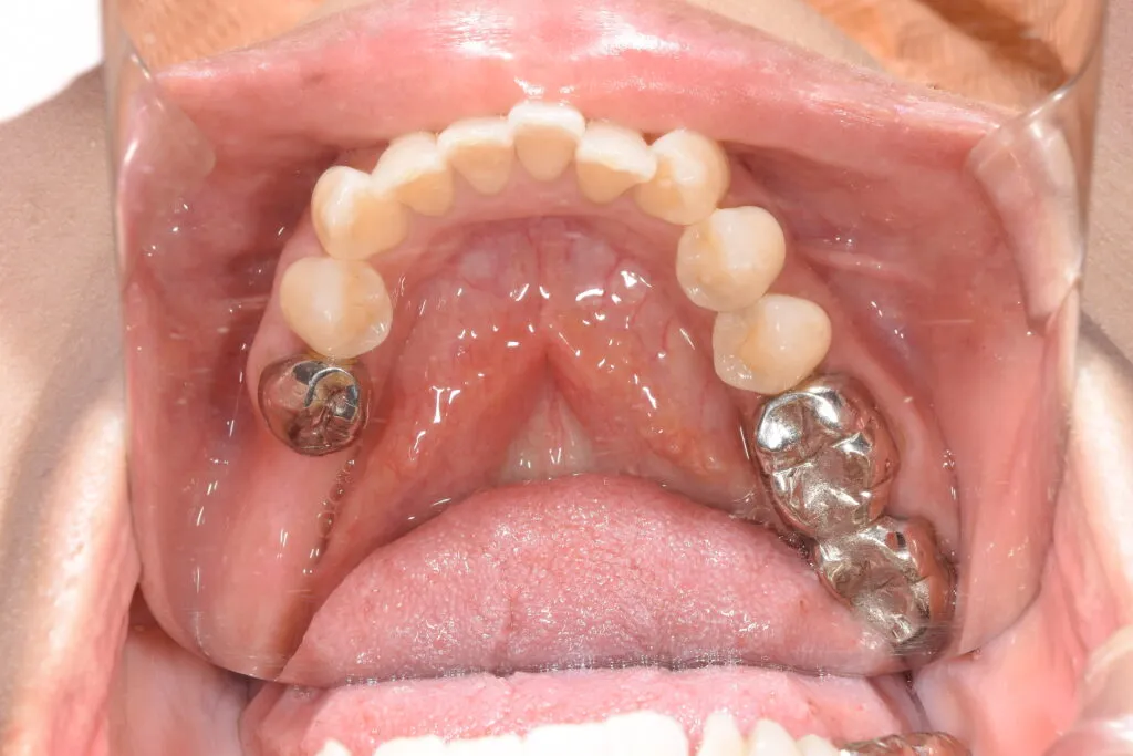
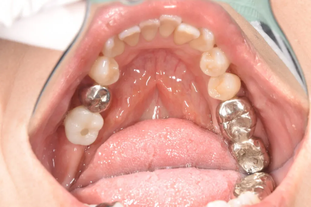
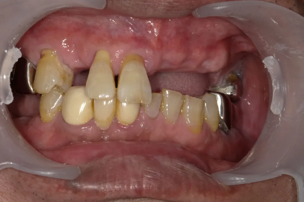
インプラント症例 1

術前

術後

年齢

60代

性別

男性

主訴

入れ歯が合っていないし、見た目も悪い

治療内容

インプラント7本、ジルコニア5本

治療回数

11回

治療費

3,500,000円(税込)

メリット

審美性に優れ変色しない 
二次的な虫歯になりにくい 
生体親和性が高くアレルギーを引き起こさない

デメリット

自費治療のため費用が高い

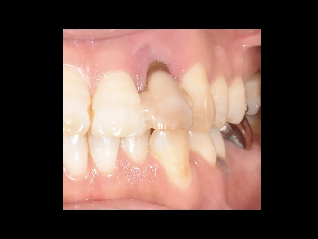
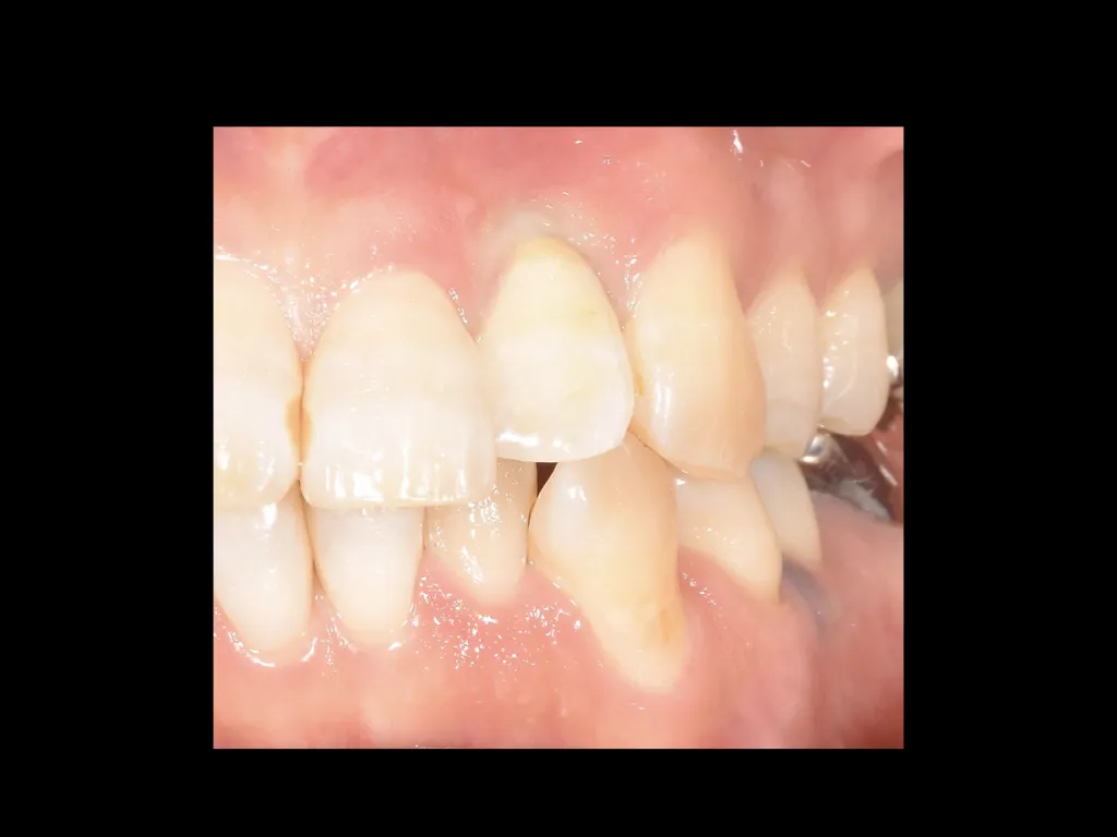
インプラント症例 2

術前

術後

年齢

50代

性別

男性

主訴

前歯がグラグラしている。他院で抜かないといけないと言われた

治療内容

インプラント1本、抜歯即時埋入

治療回数

6回

治療費

490,000円(税込)

メリット

審美性に優れ変色しない 
二次的な虫歯になりにくい 
生体親和性が高くアレルギーを引き起こさない

デメリット

自費治療のため費用が高い

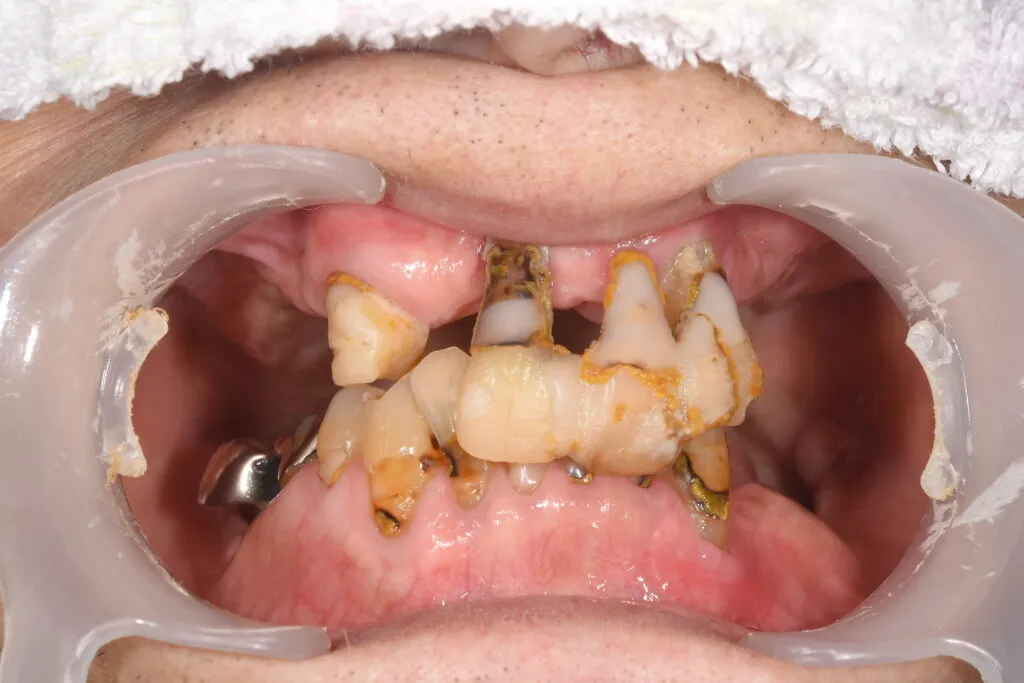
インプラント症例 3

術前

術後

年齢

70代

性別

男性

主訴

入れ歯が使えず、歯がボロボロで困っている

治療内容

オールオン4、インプラント2本

治療回数

8回

治療費

3,600,000円(税込)

メリット

審美性に優れ変色しない 
二次的な虫歯になりにくい 
生体親和性が高くアレルギーを引き起こさない

デメリット

自費治療のため費用が高い

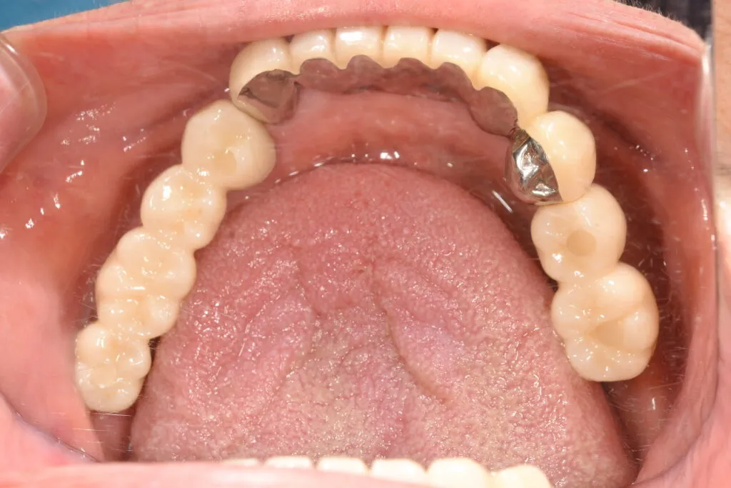
インプラント症例 4

術前

術後

年齢

60代

性別

女性

主訴

しっかりと咬めず、丸飲みの状態になっている

治療内容

インプラント4本、ジルコニア2本

治療回数

8回

治療費

2,000,000円(税込)

メリット

審美性に優れ変色しない 
二次的な虫歯になりにくい 
生体親和性が高くアレルギーを引き起こさない

デメリット

自費治療のため費用が高い

インプラント症例 5

術前

術後

術前

術後

年齢

40代

性別

女性

主訴

右下の奥歯がないので咬めるようにしたい

治療内容

インプラント1本

治療回数

4回

治療費

450,000円(税込)

メリット

審美性に優れ変色しない 
二次的な虫歯になりにくい 
生体親和性が高くアレルギーを引き起こさない

デメリット

自費治療のため費用が高い

Contactお問い合わせ

ご予約・ご質問はこちらから
お願いいたします。

Clinic医院情報

診療時間
(受付は診療終了30分前)
9:30-13:00
14:30-18:30

休診日:水曜・日曜・祝日
土曜診療時間:9:30~14:00

医院名
あきづき歯科クリニック
所在地
〒807-0075 福岡県北九州市八幡西区下上津役3-6-1
ハーモナイズ361-1階
電話番号
093-616-0470
アクセス
交通アクセス:西鉄バス75・76系統「愛宕神社」バス停 徒歩すぐ
筑豊電鉄「三ヶ森」駅 徒歩12分
北九州都市高速 小嶺インター・黒崎インターより車で約10分