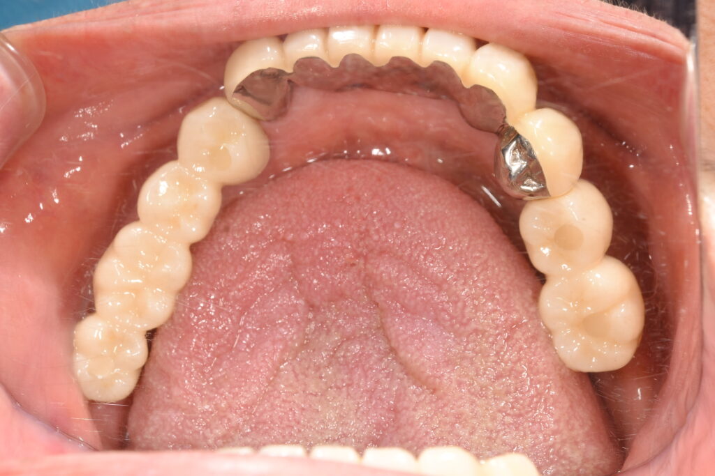
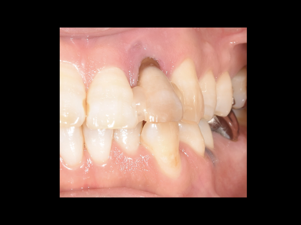
インプラント症例 1

術前

術後
年齢
60代
性別
男性
主訴
入れ歯が合っていないし、見た目も悪い
治療内容
インプラント7本、ジルコニア5本
治療回数
11回
治療費
3,500,000円(税込)
メリット
審美性に優れ変色しない
二次的な虫歯になりにくい
生体親和性が高くアレルギーを引き起こさない
デメリット
自費治療のため費用が高い
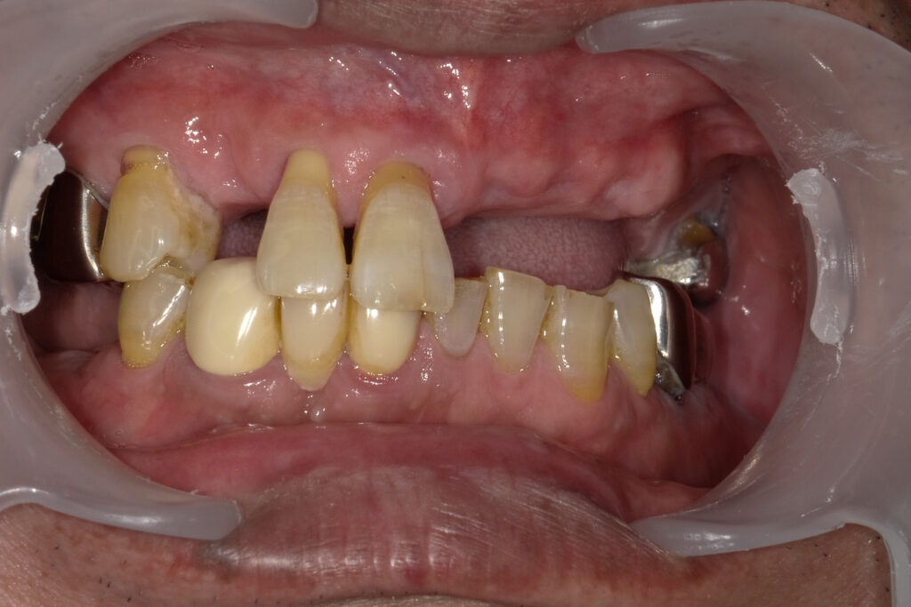
インプラント症例 2

術前

術後
年齢
50代
性別
男性
主訴
前歯がグラグラしている。他院で抜かないといけないと言われた
治療内容
インプラント1本、抜歯即時埋入
治療回数
6回
治療費
490,000円(税込)
メリット
審美性に優れ変色しない
二次的な虫歯になりにくい
生体親和性が高くアレルギーを引き起こさない
デメリット
自費治療のため費用が高い
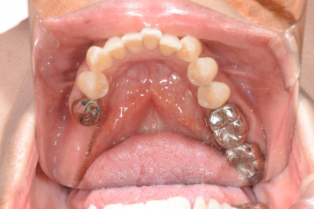
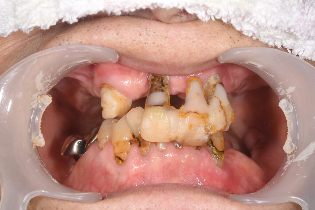
インプラント症例 3

術前

術後
年齢
70代
性別
男性
主訴
入れ歯が使えず、歯がボロボロで困っている
治療内容
オールオン4、インプラント2本
治療回数
8回
治療費
3,600,000円(税込)
メリット
審美性に優れ変色しない
二次的な虫歯になりにくい
生体親和性が高くアレルギーを引き起こさない
デメリット
自費治療のため費用が高い
インプラント症例 4

術前

術後
年齢
60代
性別
女性
主訴
しっかりと咬めず、丸飲みの状態になっている
治療内容
インプラント4本、ジルコニア2本
治療回数
8回
治療費
2,000,000円(税込)
メリット
審美性に優れ変色しない
二次的な虫歯になりにくい
生体親和性が高くアレルギーを引き起こさない
デメリット
自費治療のため費用が高い
インプラント症例 5

術前

術後

術前

術後
年齢
40代
性別
女性
主訴
右下の奥歯がないので咬めるようにしたい
治療内容
インプラント1本
治療回数
4回
治療費
450,000円(税込)
メリット
審美性に優れ変色しない
二次的な虫歯になりにくい
生体親和性が高くアレルギーを引き起こさない
デメリット
自費治療のため費用が高い


