ホームホワイトニングをお考えの方へ

ホームホワイトニングは、専用のホワイトニング剤ジェルを使って歯の色調を改善する方法です。歯科医院で型をとってカスタムメイドのマウスピースを作製し、それにジェルを注入して歯に装着して使用します。 歯を削ることなく歯の黄ばみやクリーニングでは取れない着色を取り除き、白くすることが可能です。
こんな方におすすめです
- 自分のペースで歯を白くしたい方
- 通院する時間がなかなか確保できない方
- 歯の黄ばみやクリーニングでは取れない着色が気になる方
- 色の後戻りをできるだけ抑えたい方
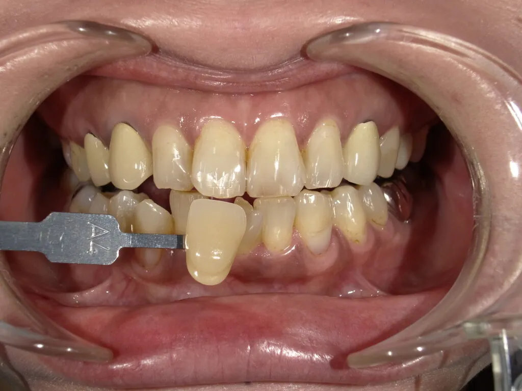
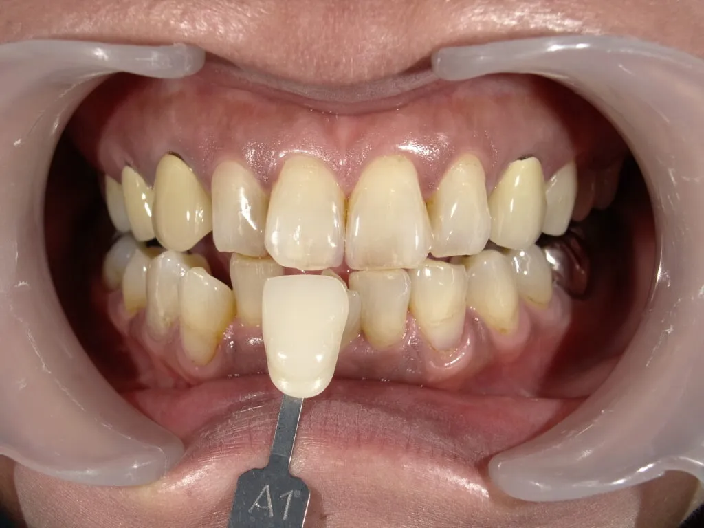
症例写真


費用:上下で28,000円(税込)
来院回数:2~3回
副作用・リスク:歯や歯ぐきがしみる場合があります。
術前
術後
ホワイトニングの効果が期待できる方・できない方
多くの方でホワイトニングの効果が期待できますが、効果が出にくい方もいらっしゃいます。
事前のカウンセリング段階で、予想される色の変化について、ご説明させていただきます。
ホワイトニングの効果が期待できないケース
- 歯の神経が死んでいることで歯が変色している(※別の施術方法があります)
- 補綴物(詰め物・被せ物)の金属が透けて歯が黒ずんでいる
- 過去に服用した薬の影響によって歯が変色している
- 詰め物・被せ物などの人工物が入っている
当クリニックのホワイトニングについて
「ホームホワイトニング」を採用

ホワイトニングには、歯科医院で行う「オフィスホワイトニング」と、患者様が自宅で行う「ホームホワイトニング」の2種類があります。当クリニックでは「ホームホワイトニング」を提供しています。 オーダーメイドのマウスピースを使用するため、患者様に合わせた効果的なホワイトニングが可能です。高濃度の薬剤を使うオフィスホワイトニングに比べて歯への刺激が少なく、負担が軽減されるのもメリットです。 初回に専用のマウスピースを作製すれば、その後に色が後戻りしても薬剤の購入のみで再度ホワイトニングができるため、コストパフォーマンスにも優れています。
ホワイトニング前には歯のクリーニングを行います
ホワイトニングを始める前に、まず歯のクリーニングを行い、歯の表面に付いた汚れをしっかりと落とすことをおすすめします。ホワイトニングでは除去できない表面の着色を取り除くことで、仕上がりが一層美しくなるだけでなく、むし歯や歯周病、口臭の予防にも効果があります。
ホワイトニング後のケア
ホワイトニング後も、白さを維持するためのお手入れをおすすめします。特に、ホワイトニング専用の歯磨き粉を使用すると、効果的に白さをキープすることができます。
ホームホワイトニングの流れ
カウンセリング
- まずはカウンセリングを行い、患者様のお悩みやご希望をお伺いしながら、ホワイトニングの説明をさせていただきます。
マウスピースの作成・歯のクリーニング
- ホワイトニングの前には、まず歯のクリーニングを行い、歯の表面に付着している汚れを落とします。
- お口の写真を撮り、ホワイトニング前の歯の色を画像で記録します。
- 型をとって患者様のお口の形状に合わせたカスタムマウスピースを作製し、後日マウスピースとホワイトニング薬剤をお渡しいたします。
ご自宅でホワイトニングをスタート
- マウスピースにホワイトニング薬剤を入れ、装着していただきます。
- 1日2時間ほど装着していただき、ご自分のお好みの白さに近づくまで継続していただきます。(2週間)
- 結婚式などのイベントを控えている方は、約1ヶ月前からホワイトニングをスタートされることをおすすめします。
- ホワイトニング終了後もメンテナンスやお手入れをして、白さを保ちましょう。
ホームホワイトニングのメリット・デメリット
メリット
徐々に白くなるので、自然な白さになる
マウスピースを作った後は、ご自身のペースでホワイトニングができる
- ご自分のお好みの色になるまでホワイトニングを続けることができる(限界はあります)
- 色が後戻りしにくい
- マウスピースを1度作っておけば、次からは薬剤の購入と歯のクリーニングのみで済むので経済的
- 知覚過敏を防ぐ薬剤が配合されている
デメリット
歯が白くなるまでのスピードがゆっくりである
- ご自分でホワイトニングを行うため、その手間がかかる
- オフィスホワイトニングほどではないが、時間が経つと色が後戻りする
ホワイトニングの費用
ホームホワイトニングキット(上or下) | ¥18,000 |
|---|---|
ホームホワイトニングキット(上下) | ¥28,000 |
※費用は税込です
※自由診療(保険適用外)になります
・治療期間は約2~4週間です
・治療回数は2~3回です


